Get a personalized dental consultation, transparent pricing and expert guidance, with no obligation.
A simple, guided journey designed to deliver predictable, safe and beautiful results with care and support at every step.
Personalized consultation and 3D diagnosis to fully understand your needs and goals.
Digital Smile Design and advanced planning for precision, aesthetics and predictability.
Expert procedures performed by certified specialists using premium materials and guided techniques.
Ongoing support and a real 3-year guarantee your proof of long-term trust and quality.
Located in Tijuana’s Medical District, Smile Tijuana Dentist offers safe, modern facilities and easy access for U.S. patients traveling from San Diego and Southern California.
Whether you drive or walk across the border, we guide you every step of the way, before, during and after your visit.
Behind every transformation there’s trust, courage and expert care.

Our clinic combines modern facilities, advanced diagnostic tools and digital planning technology to deliver precise, predictable and comfortable treatments. Every detail of our space and equipment is designed to support safety, clarity and exceptional results without feeling cold or intimidating.
Our pricing is shaped by our integrated care model: The Smile Experience, combining medical excellence, advanced materials and transparent costs to deliver meaningful value compared to U.S. dentistry (up to 70% in savings) without compromising long-term quality.
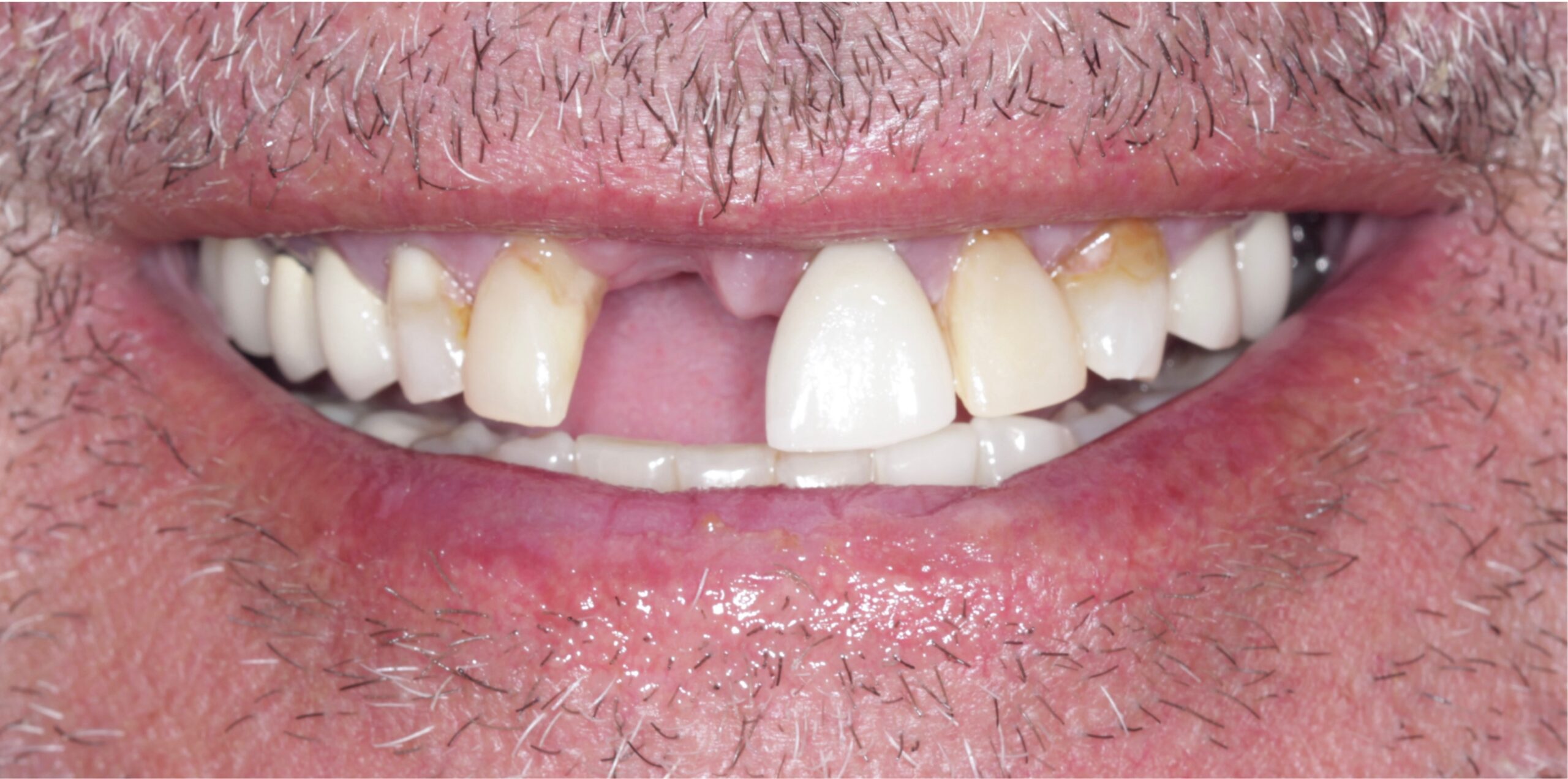
Real patients. Real results. Real confidence. From aesthetic enhancements to full smile restorations, our treatments are designed to restore health, confidence and quality of life.
The place is amazing! I’ve been going to this place for the past couple of years, and the people are incredibly friendly. It’s neat and tidy, organized without a single stain. I go here whenever I need a check-up on my teeth, I trust them. They do braces, invisilingers, fillings, and more. Incredible place!
I honestly can't even put into words, how great of an experience I had with the Smile Tijuana team. Everyone I encountered was great. They explained things so well. I was there for about 16 hours getting work done, in 2 days. In that time, they did everything possible to make sure I was comfortable. I go back soon for my second trip and I know ill be in good hands. I can't thank them enough!
World-class dentistry in Tijuana with a real 3-year guarantee. Safe, transparent and just minutes from the U.S. border.
15+ years of experience
7,000+ patients treated
Real 3-year guarantee
Torre 36, Zona Río Tijuana, B.C. Mexico
Monday to Sunday | 9:00 am – 5:00 pm
Copyright © 2026 Smile Tijuana Dentist. All rights reserved.